卵子质量正常的情况下,20颗卵子平均能做出10颗胚胎甚至更多,取一次卵就试管成功的概率很大;而如果卵子质量差的话,20颗卵子可能只能做出5颗胚胎甚至1颗都做不出来,可能需要多次取卵才能够试管成功!
卵子质量问题不仅是造成不孕最主要的问题之一,还是生育过程中最令人头秃的问题,因为卵子质量下降的过程通常是不可逆的!
明明在取卵当天,医生能够获取到相对满意的卵子数量,但经过3-5天的体外培养后,最终能够用于移植的胚胎数量却寥寥无几,这究竟是什么原因呢?
1、卵子的质量不高
如果卵子的质量不好,成熟率就会很低,胚胎的培养率也不高,卵子要求成熟和质量都是合格的,才能培养出好的胚胎。
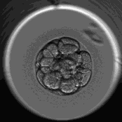
2、胚胎质量
当胚胎发育到第3天时,胚胎师会通过胚胎细胞数、胚胎对称性及胚胎碎片率来综合评定一枚胚胎的质量。
这一关主要是通过胚胎评级来筛选出“高颜值”的胚胎,而评分低的胚胎则需面临淘汰的结局。
那么卵子质量差该如何治疗?
岁月会让卵子质量降低,这是不能改变的事实,但是我们可以通过一些科学的方法减缓卵子质量降低的速度。对于卵子质量已经不容乐观的女性,可以在科学调理的基础上辅以第三代试管婴儿技术进行生育治疗。

1、改善生活习惯
这是减缓女性卵子质量下降速度成本最低的办法,但相比之下也是最不容易做到的,经年累月养成的生活习惯,并非一朝一夕就能改过来。不过对于有想法的女性,还是可以通过规律作息、健康饮食、适宜锻炼以及忌烟忌酒等方式进行调理。
2、专业医生调理
这是改善女性卵子质量最有效的解决办法,医生会全方位评估女性的身体情况,从而为女性定制最适合的解决方案。专业的医生可以通过一些营养补充剂进行调理,不过调理用药方案因人而异,建议大家一定要先咨询专业的医生。
3、生育治疗
卵子质量差最直接的影响就是对生育能力的影响,因此生育治疗也是刻不容缓的。目前针对女性卵子质量差最好的解决办法就是第三代试管婴儿,可以通过PGT技术挑选质量最好的胚胎进行移植,从而避免因胚胎质量导致的移植失败问题。
在试管婴儿的过程中,胚胎的发育如同“过五关斩六将”,每一步都会淘汰一部分潜力较差的胚胎。最终能够长成宝宝的优质胚胎,承载着不孕夫妇的全部希望,也是我们最大的愿望。因此,我们需要采取上述措施,力求改善胚胎质量,提高试管婴儿的成功率。
泰国帕亚泰是拉差医院 唯一官方渠道启孕宝贝联系方式:
Tel/中国大陆服务热线:4001150515
Tel/泰国服务热线:+66971362513



